牙齿掉了,可用哪些方法来替代牙齿呢?
新加坡其实有更多人会选择做迷你植牙。

小圈儿先给大家普及一下:
什么是种植牙?
种植牙技术是牙科领域的尖端医学技 术,用来取代缺失牙。种植体又称人工牙根,被广泛运用在取代单颗缺牙及作为制作牙桥、活动假牙的支撑柱。
广告什么是种植体?
人工牙根能有效的取代缺牙,它是一种模仿牙根的钛金属,有着不同的直径、长度,医生可以依照植牙计划将其植入到患者的上颌或者下颌缺牙部位。

什么是MINI种植体
Mini种植体是一种直径比常规种植体小很多的特殊植体,它是用于活动义齿的修复中,要比传统的义齿修复更加稳定。
不过,并不是所有人都适合做迷你植牙。

种植体是怎样植入的?
人工植牙是一种小型的局部麻醉门诊手术,依据缺牙的部位不同,大约需要20分钟至60分钟或更久。种植体植入牙槽骨后,经数月形成良好的骨整合后,就可以进行牙龈成型,然后就可以制作义齿完成上部修复。
广告
传统种植体和MINI种植体之间有什么不同?
Mini种植体允许牙医不用在牙龈上切口直接植入,术后手术痛苦减少,且可以进行即刻修复
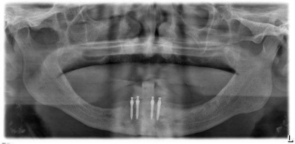
目前新加坡有两种植牙技术,一种是迷你植牙,用细小的螺丝来固定牙齿,直径只有约两毫米。

另一种是传统植牙,用的金属比较厚,植一颗牙大概要3000元到5000元,疗程也较长,一般为半年,因为有些需动手术,加强骨头支撑度后才能植牙。
相反的,迷你植牙只需几天,价格是传统植牙的一半。

迷你植牙,它是一种伤口小的微创手术。一些80岁以上的病人,不适合做传统植牙,因为骨头厚度不够,但可利用迷你植牙,帮他们植牙,改变他们的生活。
不过迷你植牙金属较薄,支撑度没有比传统植牙的金属强,长期用力可能破裂。
广告有医生曾碰过病人在外做了迷你植牙失败后上门求助,结果病人得重动手术。
新加坡牙科协会副主席表示:“传统植牙可耐至少20多年,没有问题,因为它是固定在骨头里面,所以它可以承担很多咬的力量。迷你种牙还没有临床证据显示出,它们在过了20年、30年,有没有这个能耐度来承担。”
只有一些情况适合做迷你植牙,比如用来植入下巴较小的前牙或固定松脱的全副假牙,也可用来暂时支撑牙桥。
所以病人在进行任何治疗前,应该先征询牙医的意见,根据病人的口腔情况,来决定最适合的治疗。
如果觉得我的文章对您有用,请随意打赏。你的支持将鼓励我继续创作!