万事通作为一个服务平台,希望给大家带去的不仅仅是资讯,更希望自己可以真正帮助有需要的人。一直以来,万事通收到过很多人的求助,万事通也是竭尽全力去帮助大家,希望能成为一个让大家倍感温暖的平台。
就在去年年底,万事通接到了一对濒临绝望父母的求助,(详情:“救救孩子”!绝望的中国父母紧急求助,新加坡是最后希望......)他们2岁的女儿莎莎,人生才刚刚开始就被病魔缠上了身,患上了一种恶性成度极高的恶性肿瘤——腺泡状横纹肌肉瘤(恶性)。
广告
莎莎的父母在国内走遍了医院,得到的答复都是:只能是截肢......

这么可爱的莎莎,那么小的年纪就面临截肢的选择,做父母的怎么忍心?!莎莎父母怎么也不能下定决心做出这种选择。
终于,新加坡的一位名医成为了莎莎父母最后的希望,经过检查,医生建议莎莎要在新加坡做手术,之后再加化疗和电疗,治愈率能达到85%!

莎莎在做电疗
手术的成功让莎莎父母又看到了希望的曙光,然而,就在我们以为莎莎马上就能好起来的时候,莎莎的父母又走投无路,给万事通发来了求助信......
广告尊敬的新加坡万事通,通粉们,您们好!
感谢万事通和通心粉们之前对莎莎的关心和捐助,本来这应该是一封感谢信,可变成了再次求助信。
去年9月我们带生病的莎莎来新加坡求医,坚强的莎莎挺过术前术后17次的化疗,28次放疗病情也得到控制,4月12日报告显示已经没有癌细胞了!原本正高兴一年多的努力坚持终于战胜了病魔,莎莎可以回家了。

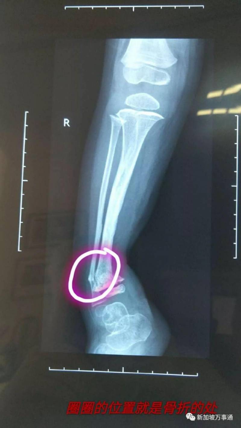
可在最后一疗上疗前,莎莎的右小腿肿瘤切除处腿骨骨折。

医生评估:说要等化疗全部做完结束,血项正常了才能安排手术,手术费用要2万新币。5月3号已上完最后一次疗程化疗,莎莎的血项恢复正常就马上手术。
广告
医生开具的收费证明
莎莎生病以来已花费近20万新币,这对于一个普通的家庭是一笔非常大的开销。作为父母我们现在是既着急又走投无路!万般无奈情况下,我只能向万事通再次发出求助信!让我勇敢又坚强的莎莎能早日回家,让她能跟其他孩子们一样健康成长!将来培养她也用一颗善良,仁爱的心来回报社会!
祈盼再次帮助!感恩!
求助人:煜莎爸爸:黄琪波 86198275
2018.5.5
万事通很高兴看到莎莎的病情得到了控制,有了好转的希望。然而,自从莎莎得病以来,莎莎父母为了那一丝希望已经花了太多太多的钱,万般无奈才再次向万事通和通心粉们求助!

如果你是能够帮助莎莎的机构,或者想为莎莎祈福,都可以点击“写留言”留下你的祝福。
帮助莎莎
如果有通心粉想要去医院探望莎莎,
或者想要提供相关的帮助,
请联系莎莎家人:
电话:86198275。
万事通在此希望莎莎的病赶快好起来,莎莎一家也能尽快度过这个难关......
广告
如果觉得我的文章对您有用,请随意打赏。你的支持将鼓励我继续创作!